От доста години денталната медицина се опитва да разработи и предложи на пациентите средства за избелване на зъбите. Причина за това е желанието на все повече хора да имат зъби с по-светъл цвят. Белите зъби се възприемат естетически по-добре от околните; те са белег на добро здравословно състояние и висок социален статус. Сред обществото се говори за т. нар. холивудска усмивка - добре подредени зъби със здрав венец без никакво възпаление и, не на последно място, с максимално светъл цвят. Много често се е налагало при избор на цвят на зъбите при изкуствени възстановявания да убеждаваме пациентите да не се поставя най-светлият възможен цвят - това показва какво значение е придобило напоследък наличието на бели зъби за самочувствието на хората. Преди да се пристъпи към избелване на зъбите, е важно да се изясни причината за оцветяването, а също и да се диагностицира състоянието на зъбната пулпа. Промяна в цвета може да се наблюдава при витални и невитални зъби, съответно при такива случаи се говори за екзо - или ендогенно оцветяване. Външното оцветяване се дължи на някои вещества, които оцветяват или увреждат емайловата повърхност на зъбите.
Опити за избелване на витални зъби се правят още от края на XIX век. Първоначално зъболекарите са се опитвали да открият най-ефективния избелващ агент. Опити са правени с оксалова киселина, след това - с хлор и калциев хипохлорид. От 1884 година насам най-широко приложение намира перхидролът. Впоследствие се въвеждат някои системи на база карбамидпероксид, но в днешно време все още повечето избелващи системи са с активна съставка перхидрол. През 1895 година за първи път е направен опит чрез електрофореза да се ускори процесът на избелване; през 1911 година това е извършено с ултравиолетови лъчи, но впоследствие методът е изоставен поради силния увреждащ ефект на това лъчение. От 1918 година (точно една година след Великата Октомрийска Социалистическа Революция) като златен стандарт в световен мащаб започва да се прилага избелването с перхидрол в комбинация с топлина или светлинни лъчи с цел ускоряване на процеса.
Най-общо съвременните зъбни избелващи системи са два вида: за домашна употреба и за приложение в стоматологичен кабинет. Домашните избелващи системи се нанасят в специално изработени за целта полиетиленови шини (много наподобяващи боксьорските), които пациентът носи в домашни условия през деня или през нощта. Професионалните избелващи системи се прилагат еднократно в кабинета - при тях ефектът се получава по-бързо, в рамките на един до два часа.
Екипът на нашата дентална практика изявява повече предпочитания към избелващите системи за офис - приложение. При тях има едно много съществено предимство - преди да се аплицира избелващата система, се осъществява професионална дентална хигиена. Почистват се зъбният камък, зъбната плака и налепите от кафета и цигари. Това не е толкова лесно при домашни условия - винаги е възможно да остане непочистен участък от съзъбието, което влошава ефекта от апликацията на избелващия гел. Освен това професионалните избелващи системи позволяват да се постигне бърз ефект - това не е без значение в днешно време, когато съзнанието на човек е ангажирано с много неща едновременно. Понякога пациентите просто забравят да си сложат шините с избелващия гел, което влошава ефекта. Освен това повечето хора предпочитат избелването на техните зъби да се постигне максимално бързо - при предстоящи публични изяви, важни лични поводи и т.н. Така например за период от близо десет години, откакто избелваме зъби, наблюдаваме интересна зависимост - увеличава се броят на пациентите за избелване около абитуриентските и абсолвентските балове (15.05 - 30.05. всяка година) и около Нова година. Всъщност в тази зависимост няма нищо необичайно - при такива поводи хората желаят да изглеждат добре и логично се насочват към денталните кабинети за избелване на зъби.
Как се избелват зъбите? Това е възможно да се осъществи благодарение на пермеабилитета на твърдите зъбни тъкани по отношение на водородния пероксид. Общо взето, водородният пероксид е едно доста реактивно съединение и при активиране бързо започва да се разпада до вода и кислородни радикали. Последните бързо проникват между призмите на емайла и особено в дентиновите каналчета. Там са просмукани пигменти, чиито молекули се разкъсват от кислородния радикал на по-малки фрагменти и чрез дифузия се извличат навън. В това се състои механизмът на действие на всички избелващи системи, които се произвеждат в момента в света - клинични, домашни, за избелване на девитализирани зъби и т.н. Процесът на разпад на водородния пероксид се влияе силно от температурата - така например, при повишаване на температурата с 10 градуса по Целзий скоростта на разпад се увеличава два пъти. Освен това при по-висока температура се ускорява и процесът на дифузия на кислородните радикали - поради ускореното Брауново движение на частиците. Тук е основният недостатък на избелващите системи - по-високата температура се възприема не особено позитивно от пациента, а при престояване се влошават и качествата на продукта. Поради това е добре да се работи само с пресни разтвори в срок на годност, а веднъж закупената избелваща система е добре да се държи в хладилник.
В по-старата литература се срещат съобщения за добър ефект на диетиловия етер при смесване с избелващ гел - според авторите така се увеличава пермеабилитетът на емайла за избелващото средство. В последно време не сме срещали научни съобщения за такива методи - възможно е при по-високи концентрации да се прояви анестезиращото действие на етера с всички неблагоприятни последствия за това върху пациента и зъболекаря. Солната и флуороводородната киселина също могат да се използват за тази цел, въпреки че според повечето автори това е твърде агресивен подход - удачно е да се прилага най-често при тежки степени на флуороза.
Адрес на практиката - Дентална практика "Ралев Дентал" - гр. Пловдив
Запазете си час за избелване на зъби на телефон +359 32 642056
Адрес на практиката - Дентален център "Омегадентагруп" - гр. Видин
Избелваща система Система за избелване на зъби Избелване на девитализирани зъби
Как се избелват зъбите? Кариес Ендодонтия Стоматология
Механизъм на действие на избелващите системи?
www.dentalimplants.bg www.ralev-dental.bg www.bg-dentist.com www.ralev.bg www.markova.ws www.investor-bg.com www.bg-tourinfo.com
На наличните няколко снимки е представен случай на избелване на зъби със системата Pola office - производство на австралийския концерн SDI. Тази система е с една от най-високите коцентрации от предлаганите на пазара - 36 % водороден пероксид. Активната съставка на всички избелващи системи е неорганичното вещество водороден пероксид. При някои избелващи продукти има добавен карбамидпероксид - това е вещество, което при облъчване със синя светлина се активира и засилва избелващото действие на основния агент.
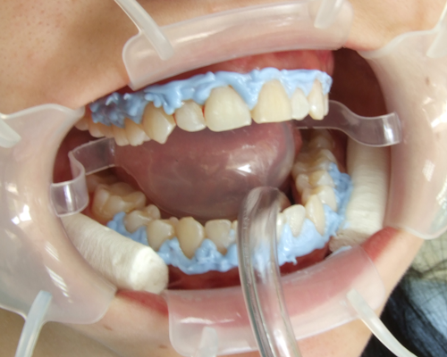
Важно е да се изолира зъбният венец от действието на избелващата система. Това става с помощта на гингивална бариера от фотополимеризираща пластмаса - тя се нанася върху венеца, облъчва се с лампа и се втвърдява. Ако не се използва такова средство, може да се стигне до химическо изгаряне на гингивалната тъкан - нещо изключително неприятно като усещане. При внимателна работа с избелващата система и добра изолация на зъбния венец до такива усложнения не се стига - ако все пак малко количество избелващ гел попадне върху венеца, той се почиства бързо и на мястото остава белезникаво оцветяване, което отминава за няколко часа.
www.bg-tourinfo.com www.investor-bg.com www.omegadentagroup.com
Безплатни on-line стоматологични консултации
Желаете да имате бели зъби? Запазете си час за консултация и евентуално избелване на телефон +359 32 642056
Зъбни импланти - Ралев Дентал Синус лифтинг
На снимката вляво се вижда аплицираният избелващ гел. Производителят умишлено го е оцветил в синьозелено - така се вижда къде е нанесена системата и се предпазва венецът от увреждане. Това не е без значение, тъй като избелването е една доста трудоемка манипулация, при която се изморява погледът на стоматолога и много често безцветните избелващи гелове не се виждат при попадане върху венеца. Какъв е принципът на действие на избелването на зъби? За да се обясни това на достъпно ниво, е необходимо да се изясни защо се променя цветът на естествените зъби. Това е един непрекъснат процес, който протича през целия живот на човека. Дължи се на просмукването на оцветители между емайловите призми. Оцветителите се намират навсякъде в състава на храни и напитки - особено агресивни в това отношение са кафето, черният чай, червеното вино и шоколадите. Освен тях оцветяване на зъбите могат да предизвикат много други продукти: натурални сокове (боровинка, касис и т.н.), сладкарски оцветители за торти, някои билкови екстракти (смрадлика), конфитюри, пюрета и какво ли още не. Хранителната индустрия напоследък все повече залага на органичната химия за подобряване на качествата на храните.
При избелването на зъбите водородният пероксид прониква между емайловите призми и разтваря наличните там оцветители. Колкото по-тъмни са зъбите на един пациент, толкова по-агресивно трябва да се въздейства върху тях - причина за по-тъмното оцветяване е по-голямото количество на оцветителите. В такива случаи се оставя гелът върху зъбите за малко по-дълго време; така той успява да извлече оцветяванията по-ефикасно. Налице са и показания за прилагане на избелваща система с по-висока концентрация на водородния пероксид. При избелването на зъби са налице и някои противопоказания. При пациенти с изкуствени възстановявания в областта на фронталните зъби резултатите са труднопредвидими - зъбните тъкани се избелват, а короните и обтурациите не и поради това може да се получи разлика в цвета. При необходимост от подмяна на възстановяванията е най-добре първо да се избелят зъбите, да се изчака за кратък период от време (най-добре около две седмици) и едва след това се изработват новите корони и обтурации. Причина за това е остатъчното действие на избелващите системи - дори след края на манипулацията междупризмените пространства са отворени, оцветителите се отделят навън и зъбите изсветляват още малко. Този процес протича най-вече през първите 72 часа, но според повечето производители е добре да се изчака около две седмици до постигането на окончателния резултат.
Цена на избелването на зъби в Стоматологични кабинети "Д-р Ралев" - гр. Пловдив - 200 лв. за еднократно избелване в кабинета
Топла вертикална кондензация на коренови канали www.endodontia.bg www.dentalimplants.bg www.omegadentagroup.net
На снимките долу е показан клиничен случай на избелване на зъби с американската избелваща система ContrastAM на производителя Spectrum Dental. Това беше първият продукт, който беше внесен на българския пазар от новорегистрираната фирма Ралев Дентал АД. Първият пациент, който се подложи на въпросната процедура, беше студентка по дентална медицина, която идваше на обучение в нашата клинична практика по това време. Всичко беше крайно вълнуващо за целия ни екип: бяхме закупили нещо от другия край на света, което имахме намерение да предлагаме на всички наши колеги от цялата страна; бяхме се свързали с производителя по време на конгреса на FDI в емирство Дубай през 2007 година. Няколко месеца по-късно осъществихме първия директен внос на дентални материали и веднага подложихме продукта на пълни клинични проучвания. Полученият резултат беше доста добър; до момента имахме клиничен опит само с избелващата система Pola office на SDI - Австралия. Веднага оценихме предимствата на продукта на нашия първи търговски партньор - шприцата с избелващия гел беше конструирана така че да дозира точно съотношението между двата компонента; гингивалната бариера беше изключително хомогенна и плътна, с отлична адхезия към предварително подсушения зъбен венец. При версията на Pola Office, която използвахме до момента, се налагаше предварително да се смесват прах и течност. Съотношението между тях трябваше да се определи на око от зъболекаря; в резултат на това се получаваше или прекалено гъста, или прекалено рядка консистенция. При прекалено гъст избелващ гел ефектът от избелването не е толкова добър; при прекалено рядък гел избелването е отлично, но гелът се разтича из устната кухина на пациента и започва да пари по венеца и устната лигавица. Всичко това се избягва при системата ContrastAM.
www.ralev.biz www.ralev.name www.ralev.ws www.simeonov.ws www.buchkova.com
В търговската мрежа се срещат различни избелващи продукти - освен конвенционалните избелващи системи се срещат избелващи пасти за зъби, води за жабурене и т.н. Не сме наблюдавали видим ефект при приложението на паста за зъби или вода за уста; така или иначе, тези продукти няма да навредят на повърхността на зъба. Опасно е приложението на някои остарели методи за избелване на зъби - обтриването на емайла с лимонена кора, приложение на различни абразиви и т.н. При такива методи се износва допълнително и без това изтъненият емайл на оцветените зъби. В никакъв случай не прибягвайте до самолечение и задължително се консултирайте със зъболекар, ако искате да имате по-бели зъби - зъболекарят може да постигне по-светъл цвят без да увреди по какъвто и да е начин зъбните тъкани.
Лицево - челюстна хирургия Софийска дентална среща Зъб Дентална медицина Кариес Ендодонтия
Електронен магазин за дентални материали Връзки с инвеститорите Композитни щифтове
Запазете си час за избелване на зъби на телефон 032 642056 - ще се опитаме да постигнем максимално светъл цвят на зъбите ви!
За първи път през 1950 година се съобщава за оцветяване на зъбите при деца в резултат на прием на тетрациклин. В резултат на широката употреба на този антибиотик рязко нараства броят на случаите с такова оцветяване, което определено се превръща в проблем, тъй като тетрациклиновото оцветяване остава за цял живот. Най-общо такова оцветяване се получава при прием на тетрациклини в доза над един грам дневно при бременни и деца до 8 годишна възраст. В момента са патентовани над 2000 тетрациклинови производни, някои от които и до днес се прилагат като незаменимо средство - например при хронични бронхити с кистозна фиброза. Зъбите са чувствителни по отношение на тетрациклина по време на тяхното развитие, през който период тетрациклиновата молекула се хелира с калция и се включва в хидроксилапатитния кристал. Оцветяват се минерализираните тъкани - емайл и дентин. Оцветяването може да бъде по-силно или по-слабо изразено, в зависимост от дозата, вида на препарата, възрастта на пациента и продължителността на лечението. Цветът на зъбите може да варира от жълто - оранжев до тъмен сивкаво - синкав нюанс. В зависимост от тежестта на оцветяването и прогнозата се различават четири степени на оцветяване:
I - жълто или светлокафяво оцветяване, равномерно, без ивици и петна
II - сиво оцветяване, по-интензивно, но също равномерно
III - тъмносиво или синьо оцветяване, ивици на по-слабо и по-силно изразена промяна в цвета
IV - силно изразено оцветяване, тъмно синьо до черно на цвят
В най-общия случай тетрациклиновото оцветяване е трудно за премахване чрез методите за избелване на зъби - емайлът не е с нормална структура, призмите не са правилно разположени, срещат се глобули, ламели, различни наслоявания и т.н. При такъв емайлов строеж избелващият гел не може да проникне в дълбочина и избелването не е толкова ефективно - за схема на действието на избелващите системи кликнете тук... Траен и сигурен резултат се получава при изработка на порцеланови фасети. При първа или втора степен може да се избели частично при по-упорито приложение на избелващите системи.
Флуорозата също е проблемно патологично състояние по отношение на цвета на зъбите. Получава се при съдържание на флуор в питейната вода над 1.5 ppm. При концентрация над 4 ppm се наблюдават сериозни увреждания на зъбния емайл, които се демонстрират клинично със силно оцветяване на зъбната корона. През различни периоди ендемични огнища на флуороза са били Бургас, Велинград, Хисаря и други населени места - при установяване на опасност от флуороза властите се опитват да вземат мерки и рано или късно се променя водоизточникът на съответното населено място. При българската държавна администрация и при начина на работа на общинските власти това става почти винаги късно или много късно. Високата концентрация на флуориди причинява метаболитни смущения в амелобластите, образува се дефектен матрикс с последваща неправилна калцификация и редуващи се участъци на хипо- и хиперминерализация. Наблюдават се два вида изменения: вътрешно оцветяване и повърхностни дефекти - само при повърхностните дефекти има вероятност процедурата по избелване да е успешна, докато при вътрешно оцветяване резултатите са отчайващи - зъбите не се повлияват. В литературата са описани три степени на флуорозата:
I степен - кафява пигментация на гладката емайлова повърхност, възможно е да се избели
II степен - плоски сиви или бели петна по повърхността на зъбите. Такива зъби се избелват трудно, тъй като не може да се получи еднакъв ефект при избелване на петната и останалата повърхност
III степен - кафяво оцветени повърхностни дефекти. По-тъмно пигментираните дефекти се избелват доста трудно, поради което в много случаи е удачно избелването да се комбинира с обтуриране с композитни материали
Срещат се и оцветявания след хеморагия в пулпата. При силна травма се разкъсват кръвоносните съдове във вътрешността на пулпната камера и се стига до вътрешен кръвоизлив. Кръвта навлиза в дентиновите каналчета по капилярен път; еритроцитите се разпадат и се освобождава хемоглобин. Освобождава се желязо, което се свързва с наличния сероводород и се образува железен сулфат с много неприятен черен цвят. Понякога пък се наблюдават класическите стадии на резорбция на хематом - първоначално короната става синкава, впоследствие оранжева, жълта, бледожълта и с нормален цвят. При всички случаи такива зъби се избелват с много добър резултат с помощта на ендогенните методи за избелване - за повече информация прочетете тук... При некроза на пулпата по някаква причина резултатите са същите - променя се цветът на зъба и се налага вътрешно избелване. Всички разпадни продукти от некрозата водят до кафявочерно оцветяване. Описани са различни биохимични механизми на образуване на пигменти - така например триптофанът (аминокиселина, която е нормален компонент на белтъчните молекули) се метаболизира до меланин. Колкото повече време стоят пигментите в пулпната кухина, толкова по-трудно се избелва зъбът след това. При млади пациенти резултатите са по-добри и се получават по-бързо поради по-добрия пермеабилитет на твърдите зъбни тъкани - дентиновите каналчета са по-широки. Абсорбцията на пигменти от храната или от тютюневия дим засилва потъмняването на зъба и влошава прогнозата по отношение на избелването.
В много случаи става въпрос и за ятрогенно оцветяване на зъбите - при неправилно извършени лечебни процедури, в резултат на които отново се образуват пигменти и се просмукват в дентиновите каналчета. При витална екстирпация или ампутация например може да се стигне до кръвоизлив, който оцветява зъба по описания по-горе механизъм. Ако остане пулпна тъкан в рогчетата на пулпната камера, се стига до нейния гангренозен разпад с последващо сивочерно оцветяване на зъба. Редица медикаменти и обтуровъчни материали могат да доведат до различни по нюанс оцветявания на коронката. Така например сребърният нитрат, който понякога се използва в детската стоматология, причинява синкавочерно оцветяване; йодът оцветява короната на зъба в оранжево, жълто или кафяво, а металните щифтчета и обтурации - в сивочерно. В миналото широко се прилагаше каналопълнежната паста Foredent на Spofa Dental, която паста е на формалинрезорцинова основа и оцветява зъбите в розовокафяв цвят. Подобни са резултатите при употреба на SPAD. Корозионните продукти при употреба на метали за директни реставрации също предизвикват ятрогенно оцветяване - амалгамата оцветява в сивочерно зъбните тъкани, а металните щифтчета - в синьочерно. Поради това е по-добре за изграждане на зъбни пънчета да се използват композитни щифтове.
При всички тези случаи времетраенето на действие на оцветяващото вещество определя дълбочината на проникване, степента на оцветяване на зъба и възможностите за неговото избелване. В различните случаи прогнозата варира много - понякога сме успявали да избелим силно оцветени зъби, в други случаи слабо оцветен зъб почти не се поддава на избелване. Описание на методите за избелване на девитализирани зъби е публикувано тук...
При някои рядко срещани общи заболявания може да се стигне до оцветяване на зъбите чрез дифузия на различни пигменти в дентина. Например при хемолитична болест на новороденото (при Rh-несъвместима бременност) настъпва разпад на еритроцитите на плода, при който наред с всички други проблеми се оцветяват и новообразуваните зародиши на зъбите. Такива деца са с тежки системни и органни увреждания и промяната в цвета на зъбите им е последният проблем, но в литературата се срещат и описания на подобни случаи. Новородените с тежка форма на жълтеница могат по-късно да имат зъби, оцветени в синьозелено или кафяво. Това се дължи на натрупания постнатално билирубин или биливердин в твърдите зъбни тъкани. Порфирията създава пигменти, които оцветяват зъбите в червеникавокафяв цвят.
Много трудно се избелват зъби, които са оцветени поради наследствени заболявания - amelogenesis imperfecta hereditaria, dentinogenesis imperfecta hereditaria и т.н. При такива заболявания е увреден и матриксът, и минералната съставка на емайла и дентина и избелването е до голяма степен безсмислено - така или иначе, в крайна сметка се стига до изработка на мостове и корони или до поставяне на зъбни импланти. Локализираното оцветяване на отделни зъби може да се дължи на дефекти в емайла и дентина, получени при образуването на зъбите - много често се среща хипокалцифицирано бяло петно, което при добра устна хигиена има много добра прогноза - за няколко месеца до една година изчезва и не се появява отново. Такива петна се срещат много често и при пациенти с ортодонтски апарати, при които е затруднено почистването в областта на шийките. За съжаление тези оцветявания понякога стават причина за диагностични грешки и необосновано приложение на избелващи системи - в случая е необходима реминерализираща терапия, а не избелване на зъби.
Интересни физиологични промени настъпват с напредване на възрастта на пациента. Зъбите стават по-жълтеникави поради необратимото изтъняване на емайла, в резултат на което започва да прозира дентинът. Успоредно с това в тъканите на зъба се просмукват множество пигменти - от цигари, кафе, шоколад, червено вино - все неща, които са много хубави, но аморални или се дебелее от тях... Това затруднява доста процеса на избелване на зъба и налага употребата на по-агресивни системи - добър избор е италианската система the Smile, при която концентрацията на перхидрола е 37.5 %.
В различни форуми се срещат постинги за избелване на зъбите с лимонова кора. Предупреждаваме всички посетители на нашия сайт: никога не правете нещо подобно! Лимонът и лимоновата кора съдържат киселини (лимонова киселина), които ецват емайла и извличат неговите минерални съставки. Това може да доведе до развитие на кариес и до повишена чувствителност на зъбите към химични и термични дразнители. Тази свръхчувствителност се демонстрира с остра болка при пиене на горещи и студени течности, при прием на сладки и кисели храни. Усещането е изключително неприятно въпреки сравнително добрия ефект от избелването с лимонена кора. По-добре е да се насочите към професионално избелване на зъбите в зъболекарски кабинет.