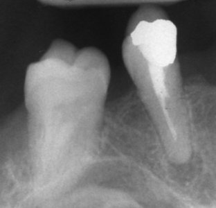
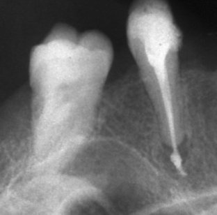
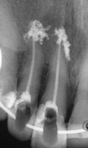
Запълване с препресване

www.bg-tourinfo.com   www.investor-bg.com    www.ralev-dental.com

Адрес на практиката

Начална страница

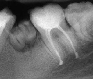
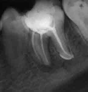
Ендодонтия