Долни фронтални зъби

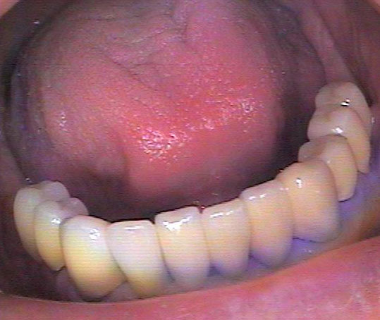
На тази снимка е представен пациент с керамична конструкция на долната челюст - единадесетчленен мост. Долните централни резци умишлено не са подредени под формата на идеална зъбна дъга; вижда се неравномерната линия на режещите им ръбове и леко изразените аномалии в местоположението на отделните зъби. Конструкцията беше изработена по този начин по идея на нашия зъботехник и пациентът беше изключително доволен от нея - на практика за всеки непрофесионално настроен страничен наблюдател зъбите изглеждат съвсем като естествени. Няма онова впечатление за изкуственост, което се създава от равномерно подредените зъби.

www.dentalimplants.bg    Феномен на Годон и Попов