Ецване

Turkce

Ецването е чисто химичен процес, при който повърхността на даден предмет се обработва с химичен агент с цел получаване на грапавини и отстраняване на замърсявания. Най-често ецването се извършва с киселини, но се срещат и методи за ецване с основи. Основите са особено агресивни и при попадане върху живи тъкани предизвикват коликвационна некроза - проникват в дълбочина, разпадат тъканите и премахват една част от тях, при което отново и отново проникват по-дълбоко. Поради това те рядко намират приложение в медицината; прилагат се при производството на някои машинни детайли от метал, при които се изисква особено грапава повърхност. При приложение върху живи тъкани киселините предизвикват коагулационна некроза - повърхностните слоеве се коагулират и така действието на увреждащия агент се самоограничава - киселината не прониква в дълбочина. Две са областите на човешкото познание, в които най-често се прилага ецване - производството на печатни платки и денталната медицина, в частност лечението на кариеса. При производството на зъбни импланти също се налага ецване - имплантатните повърхности са награпавени със силни киселини, което осигурява отлична възможност за остеоинтеграция. Описани са много различни методи на ецване, при които се работи с различни ецващи агенти. Съществуват и методи на йонно и плазмено ецване, които обаче са трудноприложими в устната кухина на пациента - едва ли някой ще бъде ентусиазиран от възможността да се работи в устата му с волтова дъга. Процесът на ецване също така силно се влияе от температурата, но в зъболечението при клинични условия така или иначе се налага да се работи при телесна температура. Поради това като най-чест ецващ агент в света се е наложил 37 % разтвор на ортофосфорна киселина; освен това за ецване на зъбите приложение намират лимонената и малейковата киселина.

Ецвана зъбна повърхност

Ецвана повърхност на зъба, следва да се нанесе свързващата система

Ецващ гел    Зъбни импланти - Ралев Дентал

Ецване на зъба

Ецващият гел е оцветен в синьо, зелено или червено с цел да контрастира с повърхността на зъба. Производителите оцветяват геловете и течностите не самоцелно, а за да бъдат в услуга на зъболекарите - при промиването на гела той трябва да се отстрани напълно, без никакви остатъци. Минимални порции ецващ гел рязко ще влошат качеството на зъбната реставрация; няма да подейства добре свързващата система, ще е налице силна свръхчувствителност ако зъбът е витален и т.н.

Запазете си час за преглед на телефон 032 642054 - прегледът е напълно безплатен. За on-line консултации кликнете тук...

Нашият екип отговаря и на запитвания по електронна поща на адреси ralev@dentist.bg, office@ralev-dental.bg и help@ralev-dental.bg

Ецване на зъб

Зъбът е изолиран с кофердам, предстои да бъде нанесен ецващият гел. Кофердамът осигурява добра изолация - няма как върху зъба да попадне слюнка или да кондензират водните пари от издишвания въздух. Добрите ецващи гелове са оцветени и са с оптимална гъстота - нито мнго редки, нито много гъсти. Ако ецващият гел е прекалено рядък, той изтича извън зъба и при липса на кофердам попада върху устната лигавица на пациента. Такава ситуация е много неприятна, защото гелът е киселина и вкусът му е доста кисел; по рефлекторен път силно се увеличава слюноотделянето и рязко нараства опасността от замърсяване на зъба със слюнка. Освен това много голяма част от гела изтича извън кавитета, което е свързано с преразход на материал. Обратно, ако гелът е прекалено гъст, той излиза много трудно от апликационната канюла и освен това не се размесва добре върху зъбната повърхност. Обикновено при продължителен престой ецващите гелове се сгъстяват - поради това големите опаковки не са много удачни. Някои производители на дентални материали предлагат разфасовки с обем дори 50 милилитра, но само след два или три месеца гелът в спринцовката се сгъстява и се аплицира много трудно в кавитета.

Лицево - челюстна хирургия    www.dentalimplants.bg   www.bg-dentist.com   Ецващ гел

Ецващ гел

Кавитетът е изпълнен с ецващ гел

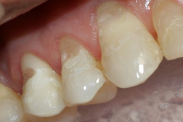
Ецван и подсушен зъб

Ецващият гел е промит с обилна водна струя и кавитетът е подсушен. При правилно изпълнение на процедурата зъбната повърхност побелява - налице е тебеширенобял цвят. Вижда се и цепнатина между гутаперчата и стената на канала - ецващият гел е разтворил епоксидния сийлър, което от гледна точка на ендодонтията представлява клинична грешка. Топендодонтите съветват винаги урефициумите на запълнения канал да се изолират с течен композит, компомер или глазйомерен цимент. Може би най-удачен за такива ситуации е самоецващият композитен цимент - например Diamond Link на DRM (САЩ). В настоящата ситуация веднага ще бъде аплицирана свързваща система, която ще навлезе в дълбочина чрез дифузия и ще запечата канала, поради което едва ли ще възникне ендодонтски проблем в бъдеще; все пак, необходими са повече изследвания занапред по настоящата тема - до каква дълбочина ецващият гел извлича кореновия сийлър и дали това създава опасност от нарушаване на запечатката на канала.

Ецваната зъбна повърхност е с много голяма площ. От решаващо значение е каква ще бъде първата течност, която попадне върху нея - в случая е аплициран кондиционер, който играе повече ролята на праймер - навлиза в дълбочина и служи за посредник между зъба и същинския бонд. Това всъщност е нещо уникално за свързващата система на DRM - самоецващият праймер може да се прилага и върху предварително ецвана повърхност, при което прониква на много по-голяма дълбочина и осигурява много по-голяма здравина на връзката. Същевременно киселите съставки на кондиционера ецват допълнително емайла и дентина и осигуряват допълнителна ретенция.

Кодиционер - праймер

Кондиционерът на DRM

Ецвана зъбна повърхност

Емайловата повърхност е ецвана. Неорганичната киселина е силна и разтваря бързо минералите на зъбния емайл

Графичен модел на действието на уникалната свързваща система на DRM. Кондиционерът, който е същото време е и праймер, е оцветен в синьо. Какво точно се получава? Емайлът е ецван предварително с 37 % ортофосфорна киселина и са налице макроретенции. След това се нанася кондиционерът и неговите кисели съставки ецват емайла допълнително - получават се микроретенции, които на графичната схема са означени като остри ъгли и грапавини. Тъй като в състава на кондиционера няма неорганични киселини, а само по-слаби органични такива, той не може да ецва зъба в таква степен, както ецващият гел. Поради това получените грапавини са много по-плитки, но увеличават многократно площта на свързване, което донякъде успешно е представено на схемата горе. Всичко това увеличава допълнително силата на връзката с композита и е предпоставка за по-голяма трайност на зъбните реставрации. Върху кондициониращия праймер се аплицира бондът, който е чиста пластмаса без киселинни съставки.

Върху зъба е нанесена същинската свързваща система - в случая DRM Base. След полимеризация със синя светлина бондът образува тънък филм върху зъба и повърхността не изглежда тебеширенобяла, а полирана. Добрите свързващи системи имат нисък вискозитет - за да не образуват дебел слой пластмаса върху зъба, която пластмаса не е с механичните качества на композита и може да компрометира зъбната реставрация в бъдеще.

DRM Bond

Бондът на DRM - САЩ

Адрес на нашата практика

Запишете си час за преглед и безплатно изготвяне на план на лечение - тел. 032 642056

За първи път ецването на зъбния емайл е описано от Bouncore през 1955 година. След обработката на емайловата повърхност с киселина авторът е наблюдавал химични и механични промени в нея, които подобряват връзката между пластмасата и емайла и многократно увеличават трайността на обтурациите от акрилова пластмаса. Въпросният учен си е нямал представа каква кутия на Пандора е отворил - след него започва бясна надпревара от страна на производители, вносители, дистрибутори от клиницисти да предлагат различни техники на ецване, кондициониране и свързване на твърдите зъбни тъкани към композитните материали. В крайна сметка, в резултат на обширни проучвания се стига до извода че киселината разтваря повърхността на призмите, увеличава микропространствата между отделните призми и между кристалите вътре в призмите. Получават се микропори и микроцепнатини с дълбочина 10 - 30 микрометра. Тъй като върху един квадратен милиметър от зъбния емайл се намират около 30 000 - 40 000 призми, след ецване значително се повишава повърхността на свързване.

Свързваща система DRM Bond   Информация за свързващите системи   Вход в нашия форум

При ецване на емайла с киселини Silverstone и колектив през 1975 година описват три вида промени в емайла:

Върху ецването на емайла оказват влияние много фактори. Така например видът на киселината е от голямо значение за процеса на ецване - изследвани са действието на фосфорната киселина, флуорираната фосфорна киселина, лимонена киселина, малейкова, оксалова, танинова, етилендиаминтетраоцетна киселина (ЕДТА), трихлороцетна киселина, полиакрилова киселина и т.н. Много от киселините за ецване са намерили по-голямо приложение в ендодонтията - лимонената киселина служи за отстраняване на размазания пласт, ЕДТА - за лизиране на калцификатите в комбинация с нейното хелиращо действие и т.н. Най-разпространен ецващ гел в световен мащаб в момента е на базата на фосфорната киселина. Значение има също така концентрацията на киселината в ецващия агент - при различни клинични проучвания са използвани концентрации от 10 до 60 %. Доказано е че в зависимост от концентрацията на киселината се получават различни преципитати. Така например при концентрация от 50 % и време на приложение 60 секунди се получава преципитат с химичен състав монокалциев фосфат монохидрат. Такъв преципитат лесно се промива; ако концентрацията на фосфорната киселина е под 27 %, се образува преципитат със състав калциев фосфат дихидрат, който се промива по-трудно.

България    Бондинг системи    Форум за пациенти    Лицево - челюстна хирургия

Изолация на зъбите с кофердам

Изолиране на зъбите с кофердам - най-добрата изолация за момента. Предпазва от попадане на слюнка и гигивална течност върху зъба; освен това изолира и от водните пари от издишвания въздух. Повечето топексперти от областта на консервативното зъболечение и денталните реставрации са единодушни по въпроса че винаги трябва да се работи с кофердам. Въпреки това практиката изобилства с примери за постигнати добри резултати и без приложение на кофердам - така например двата централни резеца на горната снимка са с обтурации от материала Grandio на производителя Voco - двете обтурации са поставени шест години преди да се направи снимката и не показват никакво маргинално оцветяване до момента.

При ецване с ортофосфорна киселина с концентрация 30 - 40 % се получава най-ретенционната форма. Разтварянето на калция и дълбочината на ецване се увеличават с повишаване на концентрацията на фосфорната киселина до 40 %. По-силните разтвори разтварят по-малко калций и ецването е по-плитко; в резултат на обширни клинични и in vitro проучвания се е стигнало до извода че най-ефективно е ецването при концентрация на киселината от 37 %. Поради това почти всички производители на дентални материали предлагат ецващ гел в такава концентрация - Medicept (Великобритания), R&S (Франция), Technical & General (TG - Великобритания) и т.н.

В практиката се прилагат ецващи гелове в течна форма и във форма на гел. Гелът по-лесно прониква в дълбочина в емайла и се аплицира по-лесно върху зъбната повърхност. Ецващите течности обикновено имат много рядка консистенция и изтичат извън кавитета на зъба, особено при зъби на горна челюст под действие на гравитацията. При нанасяне на ецващия гел върху зъба се изчаква необходимото време за действие, което време е според инструкциите на производителя. Размесването на течността или гела подобрява действието на ецващия агент, тъй като при това се доставят непрекъснато нови порции прясна киселина, които извличат все повече и повече калциеви йони. Така се избягва насищане и се отстранява неутрализираната киселина. Веднага трябва да се подчертае че не бива да се втрива ецващият агент с четка или памучен тупфер, тъй като при такива движения се разрушават преградите между микропорите и се намалява ретенционният ефект от ецването.

Ецващ гел

Ецващ гел, производство на R&S - Франция. Четири шприци по 1.2 мл.

Ецващият гел е аплициран

Три шиечни кариеса са почистени и в кавитетите е нанесен ецващ гел. Не е поставен кофердам - няма как гуменото платно да навлезе субгингивално в областта на третия и четвъртия зъб. Много зъболекари препоръчват в такива случаи да се изреже ивица от венеца с височина 1 - 1.5 мм, след което да се постави кофердам. Според нас това е излишна травма в повечето случаи, а и е предпоставка за венечна рецесия в бъдеще - primum non nocere! На горна челюст слюнката се стича надолу и не представлява проблем; ако от венечния джоб изтича кривикуларна течност, може да се контаминира ецваната зъбна повърхност и да се компрометира реставрацията. В такива случаи много автори препоръчват зъбният венец да се намаже с адреналин, да се инжектира с адреналин или с местен анестетик със спринцовка за интралигаментарна анестезия. Адреналинът свива съдовете и подтиска ексудацията на гингивален секрет.

Зъбната повърхност е ецвана

Ецването е приключило успешно и събите са подсушени. Вижда се как ецваната повърхност побелява, особено към средата на клиничната корона. В областта около венеца побеляването не е толкова видимо. Това се дължи на някои анатомични и хистологични особености на зъбния емайл - в областта на шийката той изтънява и става апризматичен, няма толкова много призми, срещат се глобули, ламели и аморфни участъци, между които навлиза ецващият гел. Поради това не може да се формира толкова отчетлива тебеширенобяла повърхност.

On-line консултации

Готовите зъбни реставрации

Кариозните дефекти са възстановени с материала Diamond Crown на Dental Research Laboratories Inc. - САЩ

Кариес   Дентални адхезиви    Зъболекарски материали    Електронен магазин   On-line консултации    Ецващ гел

Много производители препоръчват да се ецва 60 секунди. Същевременно изследвания със сканираща електронна микроскопия показват че при ецване за период от 15 секунди се получава същият ефект както при ецване за 60 секунди; лабораторни проучвания показват че маргиналната микропропускливост и здравината на връзката са със сходни стойности при двата типа ецване. Същите резултати се получават и при клинично проучване на ефекта от ецването. Поради това вече в практиката се прилага ецване само за около 15 секунди - по този начин се пести време, намалява се възможността за контаминация на кавитета със слюнка и микроорганизми и, което е най-важно, се намалява значително следоперативната свръхчувствителност на зъба. Много неприятно за зъболекаря е да се ецва повърхност в близост до кървяща гингива - тя отделя смес от кръв и кривикуларна течност, които са богати на протеини и контаминират силно почистената ецвана повърхност. Протеините преципитират в киселата среда и с голям успех запушват порите между емайловите призми.

След ецването започва промиване на зъба - около 15 секунди при ецване с течност и около 30 секунди при ецване с гел. При промиването се отстранява и киселината, и извлечените калциеви соли от зъба. Отварят се максимално микроретенциите по зъбната повърхност. Течностите се аспирират с аспиратор или слюносмукател; не бива да попадат върху устната лигавица, тъй като в такива случаи пациентът усеща кисел вкус и по рефлекторен път се засилва слюноотделянето. Това от своя страна е предпоставка за замърсяване на ецваната зъбна повърхност със слюнчени протеинови молекули. Ако все пак това се случи, е необходимо да се извърши повторно ецване за около 10 секунди. Промиването трябва да се извърши с вода, която не съдържа масло; добре е да се работи с безмаслени компресори с цел да не се контаминира водата допълнително с масло. Освен това крайно негативен ефект оказват солите от питейната вода, особено ако последната е по-твърда - въпросните соли преципитират върху ецванат повърхност и пречат на свързващата система да навлезе в дълбочина между призмите. Следва подсушаване с въздушна струя, която също не бива да съдържа вода или масло. При правилно изпълнение на техниката на ецване зъбната повърхност става тебеширено бяла (особено в областта на емайла) и е готова за нанасяне на свързващата система. Ако не се получи побеляване, се повтаря процедурата за около 15 секунди. Ако и тогава зъбната повърхност е бляскава и полирана, се търси възможната причина за това - най-често това се дължи на наличие на зъбна плака около участъка, който подлежи на ецване. Възможно е обаче да има обтурация от композитен материал, която да е изключително добре направена и да заблуди зъболекаря - мислим си за зъбен емайл, а всъщност се опитваме да ецваме композита, което е на практика невъзможно. Това може да се случи единствено при композитите от по-висок клас, които са с много добри цветове и се полират отлично.

Доскоро ецването на дентина се приемаше за ерес в областта на консервативното зъболечение. Според по-стари схващания то е силно вредно за виталния зъб, тъй като се премахва размазаният пласт, отварят се дентиновите каналчета, изсушават се одонтобластните израстъци и се създава потенциална възможност за увреждане на зъбната пулпа. Силно се увеличава и постоперативната свръхчувствителност на зъба; според по-нови проучвания обаче се оказва, че дяволът не е толкова черен - киселината не прониква толкова дълбоко в дентина, тъй като се буферира от йоните на дентиновата течност. Според Fusayama, Bertoloti и Kanca причина за постоперативните увреждания не е ецването на зъба, а микропросмукването, което се получава при неправилно приложение на адхезивния протокол. Също така е известно, че дентиновите каналчета не са празни, а съдържат одонробластни израстъци и неминерализиран колаген. Въпросният колаген запълва около 65 % от лумена на дентиновите каналчета; 16 % от тях съдържат големи колагенови снопчета, които заемат около 20 % от лумена. Какво следва от толкова много процентни съотношения, освен че се затрудняват студентите да помнят наизуст за изпити? Според Тау и колектив (1995) голямото количество колаген силно редуцира пермеабилитета на дентина in vivo, което предпазва подлежащата пулпа от увреждане. При девитализирани зъби нещата са по-различни - одонтобластите некротизират, не се поддържа обмяна в дентина и колагенът рязко намалява като относителен дял. Тогава обаче няма пулпна тъкан и няма какво да се увреди при ецване - съществува единствено опасност да се увеличи крехкостта на зъбните тъкани да се стигне до фрактура на зъба. Следователно и при витални, и при депулпирани зъби дентинът трябва да се ецва с по-слаби киселини - 10 % фосфорна или азотна киселина, водни разтвори на полиакрилова, оксалова, лимонена, малейкова и т.н. киселини. Според Reifeis (1995) органичните киселини имат първоначално рН около 1, но бързо го повишават и поради това са потенциално по-безопасни за ецване на дентина.

Всичко това обаче усложнява излишно много клиничния протокол. Поради това повечето производители някъде около 2000 година започнаха да предлагат системи за тотално ецване - една от първите компании, които въведоха нещо такова, беше 3М Dental Products (която скоро след това закупи германския производител ESPE и се преименува на 3M ESPE). Въпросният производител пусна в продажба Scotchbond MP, която изисква тотално ецване - нещо много по-лесно изпълнимо при клинични условия в сравнение с отделното ецване на емайла и дентина, което отделно ецване особено при дистални зъби е технически доста трудно. Така се стигна до съвременната концепция за ецване на зъбните тъкани, последвано от апликация на свързващ агент, което към момента се прилага в повечето дентални практики по света при обтуриране на кариозните кухини с композитни материали.

Съществува известна разлика по отношение на терминологията. В специализираната литература се използват методите ецване, кондицониране и праймеризиране. За какво става въпрос? При първите две манипулации повърхността на емайла и дентина се обработва с даден химичен агент с последващо отмиване; при праймеризирането върху зъба се намазва праймер и не се отмива. Ецването е обработка с по-силна киселина и последващо отмиване, а кондиционирането - обработка с по-слаба киселина и отмиване след това. Ецващи агенти са 37 - 40 % ортофосфорна киселина, азотна киселина (много рядко). Кондицонери са лимонената и малейковата киселина и ЕДТА.